案例分享:雷射切除唇繫帶

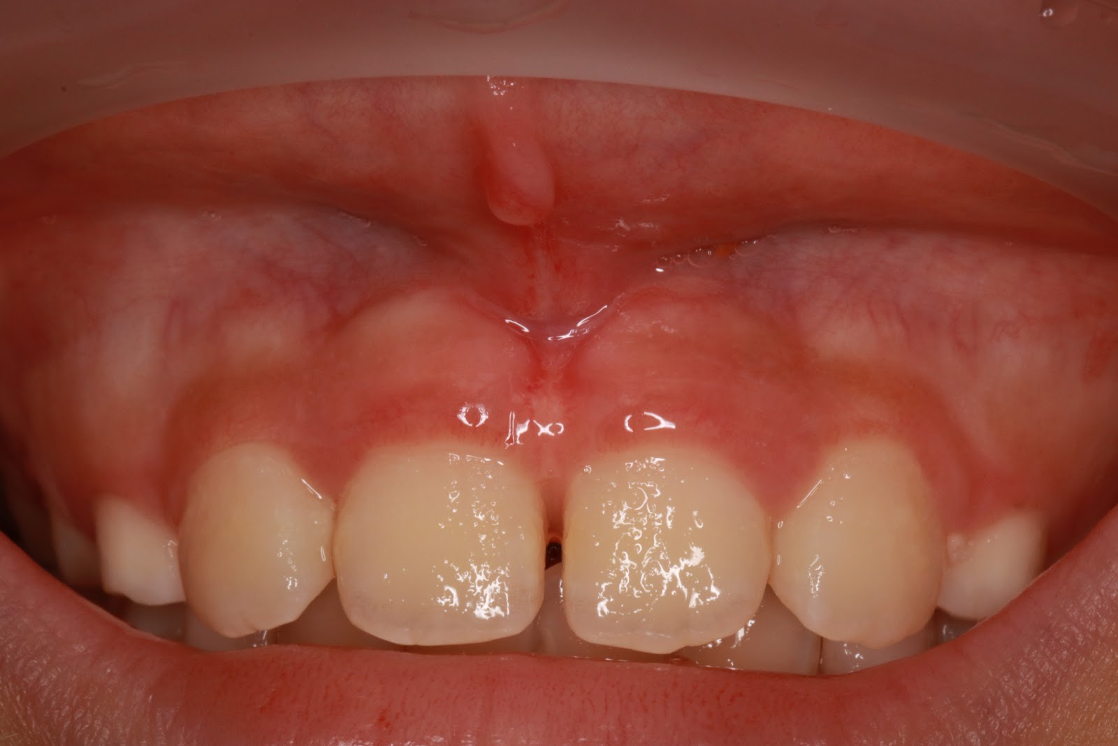
9歲的病友,因上唇繫帶過長,無法順利佩戴肌功能矯正裝置,被矯正醫師轉診過來評估切除唇繫帶。與爸媽討論過後,決定自費用雷射切除

過長的唇繫帶
切除兩週後回診
前庭回復正常深度,且未影響附著牙齦寬度

小知識:
雷射:藉由精準的切割來降低出血量,同時促進傷口癒合,與傳統手術相比,可大幅降低患者的不適感與癒合時間
唇繫帶:連接著上嘴唇和上顎正中門牙附近牙齦的韌帶,由黏膜和結締組織組成。
角化牙齦:靠近牙齒周圍不可動且較硬的牙齦組織。口腔黏膜分成角化黏膜和非角化黏膜,角化黏膜分布在舌背、硬顎以及牙齒與顎骨邊界的附著牙齦(attached gingiva),其中附著牙齦被認為可以維持牙齦健康並預防牙周炎的破壞

至於何時該動手術切除過長的唇繫帶及舌繫帶呢?臨床上需釐清的因素太多,請洽詢你的家庭牙醫做進一步的約診及評估 :)

延伸閱讀:
MRC肌功能矯正裝置官網:https://myoresearch.com/en-au

The Superior Labial Frenulum in Newborns: What Is Normal?https://pubmed.ncbi.nlm.nih.gov/28812052/
兒牙專科醫師盧育成醫師文章:上唇繫帶:切或不切?
https://www.luyc.pro/2017/10/UpperLipFrenum.html


留言

這個網誌中的熱門文章

系統性的4+2R飲食控制法 個人心得感想

牙齒上的黑點點:令人喜愛又討厭的放線菌。

專科協同治療案例分享 - 左下第二大臼齒齲齒治療